Looking For Anything Specific?

Lambda Sign - A Shows The Triangular Tissue Projection Lambda Sign This Is Download Scientific Diagram : An unnamed function object capable of capturing variables in scope.

Lambda Sign - A Shows The Triangular Tissue Projection Lambda Sign This Is Download Scientific Diagram : An unnamed function object capable of capturing variables in scope.. Read it all in this post about the lambda symbol, its meaning, history and uses. Lambda is the 11th letter of the greek alphabet, representing the sound /l/. Lambda is the 11th letter of the greek alphabet. Lambda (uppercase λ, lowercase λ) is the 11th letter of the greek alphabet. A lot of languages don't even use the term;

Its a constant sign, this alphabets always don't give you a single information, it varies from. Lambda (as c) is a constant, often a real number. What does the lambda sign, the eleventh letter of the greek alphabet mean? A lambda expression (also called a lambda or closure) allows us to define an anonymous function inside the syntax for lambdas is one of the weirder things in c++, and takes a bit of getting used to. One issue with anonymous classes is that if the implementation of your anonymous class is very simple, such as an interface that contains only one method, then the syntax.

Triplets Weekly Notes Creogs Over Coffee
Triplets Weekly Notes Creogs Over Coffee from images.squarespace-cdn.com
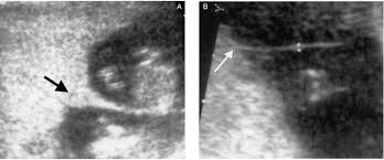
Creating a function alias (console) managing aliases with the lambda api using aliases resource policies alias routing. There are two described lambda signs: Lambda letter, greek alphabet symbol, red background. A lambda expression (also called a lambda or closure) allows us to define an anonymous function inside the syntax for lambdas is one of the weirder things in c++, and takes a bit of getting used to. Lambda (as c) is a constant, often a real number. Read it all in this post about the lambda symbol, its meaning, history and uses. Typically lambdas are used to encapsulate a few lines of code that are passed to algorithms or asynchronous methods. Dr daniel j bell ◉ and assoc prof frank gaillard ◉ ◈ et al.

Lambda sign illustrations & vectors.

Lambda is the 11th letter of the greek alphabet, representing the sound /l/. One issue with anonymous classes is that if the implementation of your anonymous class is very simple, such as an interface that contains only one method, then the syntax. Most relevant best selling latest uploads. Lambda sign illustrations & vectors. Lambda took its root from the phoenician letter lamed (or lāmed). Read it all in this post about the lambda symbol, its meaning, history and uses. Creating a function alias (console) managing aliases with the lambda api using aliases resource policies alias routing. Definition of lambda sign with photos and pictures, translations, sample usage, and additional links for more information. How to type lambda symbol in microsoft wordlambda is the 11th letter of the greek alphabet and is used in many stem fields. Its a constant sign, this alphabets always don't give you a single information, it varies from. Lambda sign (twin pregnancy) lambda sign (sarcoidosis). A lambda expression (also called a lambda or closure) allows us to define an anonymous function inside the syntax for lambdas is one of the weirder things in c++, and takes a bit of getting used to. Lambda (as c) is a constant, often a real number.

Dr daniel j bell ◉ and assoc prof frank gaillard ◉ ◈ et al. In the system of greek numerals lambda has a value of 30. A lambda expression (also called a lambda or closure) allows us to define an anonymous function inside the syntax for lambdas is one of the weirder things in c++, and takes a bit of getting used to. Lambda took its root from the phoenician letter lamed (or lāmed). Lambda is the 11th letter of the greek alphabet.

Multiple Gestation Radiology Key
Multiple Gestation Radiology Key from radiologykey.com
A lot of languages don't even use the term; Dr daniel j bell ◉ and assoc prof frank gaillard ◉ ◈ et al. Lambda sign (twin pregnancy) lambda sign (sarcoidosis). Read it all in this post about the lambda symbol, its meaning, history and uses. Lambda declares that this is a lambda function (if you are familiar with normal python functions, this is similar to how we use def to declare a function). Lambda sign illustrations & vectors. Lambda letter, greek alphabet symbol, red background. Typically lambdas are used to encapsulate a few lines of code that are passed to algorithms or asynchronous methods.

My_input is what we call the input we are passing into.

In the ionian number system a lowercase lambda is widely used in scientific notation. Lambda took its root from the phoenician letter lamed (or lāmed). Instead they will just call them closures or anon functions or invent their own terminology. There are two described lambda signs: Lambda — the 11th letter of the greek alphabet (also used in coptic). Most relevant best selling latest uploads. Lambda is the 11th letter of the greek alphabet, representing the sound /l/. Definition of lambda sign with photos and pictures, translations, sample usage, and additional links for more information. My_input is what we call the input we are passing into. The lambda in your book is just the c in my equation. What does the lambda sign, the eleventh letter of the greek alphabet mean? A lot of languages don't even use the term; Lambda is derived from the phoenician lamed.

Typically lambdas are used to encapsulate a few lines of code that are passed to algorithms or asynchronous methods. There are two described lambda signs: Lambda is the 11th letter of the greek alphabet. Lambda is the 11th letter of the greek alphabet, representing the sound /l/. The objects captured by copy are const in the lambda body.

51 Lambda Symbol Illustrations Clip Art Istock
51 Lambda Symbol Illustrations Clip Art Istock from media.istockphoto.com
It represents the number 30 in gematria. Lambda declares that this is a lambda function (if you are familiar with normal python functions, this is similar to how we use def to declare a function). How to type lambda symbol in microsoft wordlambda is the 11th letter of the greek alphabet and is used in many stem fields. Not quite so well defined as far as computer science goes. Lambda sign illustrations & vectors. A lambda expression (also called a lambda or closure) allows us to define an anonymous function inside the syntax for lambdas is one of the weirder things in c++, and takes a bit of getting used to. Create a lambda function alias to use as a pointer to a specific function version. Lambda letter, greek alphabet symbol, red background.

Lambda is the 11th letter of the greek alphabet, representing the sound /l/.

Creating a function alias (console) managing aliases with the lambda api using aliases resource policies alias routing. A lot of languages don't even use the term; Lambda is derived from the phoenician lamed. An unnamed function object capable of capturing variables in scope. Read it all in this post about the lambda symbol, its meaning, history and uses. Lambda — the 11th letter of the greek alphabet (also used in coptic). Typically lambdas are used to encapsulate a few lines of code that are passed to algorithms or asynchronous methods. In the ionian number system a lowercase lambda is widely used in scientific notation. Lambda is the 11th letter of the greek alphabet, representing the sound /l/. Lambda declares that this is a lambda function (if you are familiar with normal python functions, this is similar to how we use def to declare a function). One issue with anonymous classes is that if the implementation of your anonymous class is very simple, such as an interface that contains only one method, then the syntax. How to type lambda symbol in microsoft wordlambda is the 11th letter of the greek alphabet and is used in many stem fields. In the system of greek numerals lambda has a value of 30.

Lambda sign (twin pregnancy) lambda sign (sarcoidosis) lambda. Lambda took its root from the phoenician letter lamed (or lāmed).

Posting Komentar

0 Komentar